整形外科での骨折整復経験を活かした整体
まず最初にお伝えしたいこと
- 私は整形外科で骨折整復を行ってきました
- 神経や血管を損傷させない精度が求められる現場を経験しています
- 骨が壊れる力の大きさと方向を理解しています
- だからこそ、無理な力を使う施術は行いません
実際に折れた骨に触れ、整復してきたからこそ、力の怖さを知っています。
骨折は、強い外力によって起こります。
方向や支点を誤れば、神経や血管を傷つける危険もあります。
必要なのは強い力ではなく、方向と支点を外さない正確な操作です。
だからこそ当院では、必要以上の力は使いません。
01
整形外科での骨折整復経験
整復は、力任せではできません。
- レントゲンから骨の位置を立体的に読み取る
- 神経や血管の走行を見極める
- 最小限の力で、正しい方向へ導く
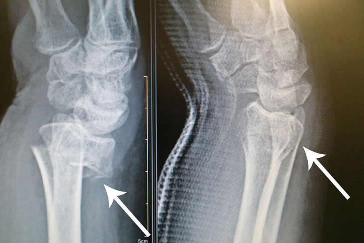
動画は、当時行った手首骨折整復の様子です。
実際の整復前後のレントゲン画像です。
整復後のレントゲンでは、骨の位置と長さが適切に回復していることがはっきりと示されています。
02
「壊れる可能性」を前提に施術を考えています
強い刺激は、体を壊すこともあります。
- 方向を誤れば神経を傷つける
- 支点を誤れば骨や関節に再び負担がかかる
- 固定角度を誤れば拘縮や機能低下を招く
骨折治療の現場では、「どこまでが安全か」を常に判断してきました。
この経験があるからこそ、体に余計な圧や刺激を加える施術は行いません。いわゆる“ボキボキ”や力任せの調整をしないのは、そのためです。
03
整体への応用
整体でも、力の扱い方は同じです。
- まず体の状態を評価する
- 必要な部位だけをゆるめる
- 力を通す構造を整える
- 無理なく動ける状態へ導く
目的は強く押すことではなく、正しく整えることです。
04
最後に
安心して体を預けられることが大切です。
強い刺激が良い施術とは限りません。
体の構造を理解し、安全な範囲で整えることが重要です。
安全性と精度を大切にした施術を行っています。
こんな方に向いています
- 強い矯正に不安を感じている
- 安心して施術を受けたい
- 経験のある施術者に任せたい
- 安全性を重視している
- 体を構造から理解してほしい
毎回、評価から組み立てます。
経験に基づき、丁寧に体を見ていきます。
体は、正しく扱えば応えてくれます。
沖縄・豊見城市で、安全性と精度を重視した整体をご希望の方はご予約ください。


